Produktintroduktion
|
Produktnamn |
Kat.nr. |
Spec. |
|
Gramfärgningssatser |
G1065-20ML |
4×20 ml |
Beskrivning
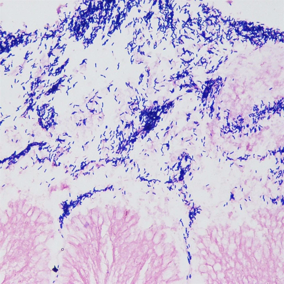
Gramfärgning är en differentiell färgningsmetod som används i stor utsträckning inom mikrobiologin, som kan användas för att skilja grampositiva bakterier (G+) från gramnegativa bakterier (G-). Grundprincipen är baserad på de olika kemiska komponenterna i bakteriecellsväggar. Efter primär färgning med kristallviolett och betningsmedel med jod bildar bakterier vattenolösliga kristallviolett-jodkomplex i cellväggen. Grampositiva bakterier har tjocka cellväggar, innehåller inga lipider, är rika på peptidoglykan och är tvärbundna för att bilda en tät rutnätsstruktur. När det behandlas med etanol, krymper peptidoglykannätet, vilket kan blockera kristallviolett-jodkomplexet. Det finns kvar i cellväggen, vilket ger den lila färgen av kristallviolett. Gramnegativa bakterier har å andra sidan tunna cellväggar, låg peptidoglykanhalt och lös tvärbindning. När det utsätts för etanol löses det lipidrika yttre membranet upp, en stor lucka uppstår i cellväggen och kristallviolett-jodkomplexet rinner ut, så att cellerna blir färglösa efter etanolavfärgning. Vid denna tidpunkt kommer gramnegativa bakterier att färgas röda genom safraninmotfärgning.
Gramfärgningslösning innehåller fyra komponenter, nämligen ammoniumoxalat kristallviolett färgningslösning, 1 % jodlösning, avfärgningslösning och fuchsinfärgningslösning. Efter färgning verkar grampositiva bakterier lila till blålila och gramnegativa bakterier ser röda ut.
Förvarings- och hanteringsförhållanden
Förvara och transportera i rumstemperatur; gäller i 12 månader.
Komponent
|
Komponentnummer |
Komponent |
G1401-20ML |
|
G1065-1 |
Ammoniumoxalat kristallviolett färgningslösning |
20 ml |
|
G1065-2 |
1% jodlösning |
20 ml |
|
G1065-3 |
avfärgningslösning |
20 ml |
|
G1065-4 |
Fuchsinfärgningslösning |
20 ml |
|
Instruktion |
1 |
1 |
Analysprotokoll/procedurer
1. Avvaxa paraffinsektionen till vatten; torka bakterieutstryket naturligt eller värm det med en spritlampa för att torka och fixa det.
2. Initial färgning: Tillsätt kristallviolett färgningslösning droppvis för att täcka provet i 10-30 s, tvätta med vatten och centrifugera.
3. Betningsfärgning: Tillsätt 1 % jodlösning droppvis för att täcka provet i 1-1,5 min, tvätta med vatten och centrifugera.
4. Avfärgning: tillsätt droppvis avfärgningslösning för att skölja vävnaden från ena änden av objektglaset för avfärgning, tills avfärgningslösningen som rinner ner inte längre ser lila ut, och tvätta omedelbart med vatten för att avlägsna avfärgningslösningen. Var noga med att kontrollera avfärgningstiden.
5. Motfärgning: tillsätt Fuchsin-färgningslösning droppvis i 20-60 s, tvätta sedan med vatten. Blotta kanterna med filterpapper.
6. Bakterieutstryk kan observeras direkt med mikroskopi. Efter torkning vid 60 grader dehydrerades vävnadssektionerna snabbt i absolut etanol under tre gånger, 1 s, 3 s respektive 5 s. Sedan transparentiserades den med xylen i 5 minuter och förseglades slutligen med neutralt gummi för mikroskopisk undersökning.
Notera
1. Dra åt locket i tid efter att du har använt reagenset för att förhindra att lösningsmedlet förångas.
2. Bakterieutstryket är för tjockt, färgningstiden för kristallviolett är för lång och avfärgningen är otillräcklig, vilket kan leda till falskt positiva resultat. Det rekommenderas att göra både negativa och positiva bakteriekontrollgrupper.
3. Varje uppsättning färgningslösning kan användas för att färga cirka 30 sektioner (droppfärgning).
4. Vänligen bär labbrock och engångshandskar under drift.
Endast för forskning!
Populära Taggar: gram färgningssatser, Kina gram färgningssatser tillverkare, leverantörer, fabrik
